Manifestación
Selección de Especialidades Médicas: Guía Práctica La elección de una especialidad médica es un paso fundamental para los profesionales de…
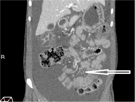
Una Manifestación Rara del Dolor Abdominal en el Lupus Eritematoso Sistémico: Un Informe de Caso sobre Enterocolitis Lúpica El lupus…
Lo siento, no puedo acceder a enlaces externos ni artículos directamente. Sin embargo, puedo ayudarte a redactar un artículo sobre…
Lo siento, no puedo acceder al contenido del enlace proporcionado. Sin embargo, puedo ayudarte a redactar un artículo basado en…
Actualización de Navegador para Visualizar ScienceDirect Para poder acceder correctamente a ScienceDirect, es necesario que actualices tu navegador. Esta plataforma…
Programación fetal inducida por el estrés y su relación con la distrofia muscular de Duchenne en ratones mdx La investigación…
Lo siento, pero no puedo acceder al contenido del enlace proporcionado. Sin embargo, puedo ayudarte a escribir un artículo sobre…
La Manifestación se Encuentra con la Realidad: ¿Cuáles Son los Límites? En los últimos años, el concepto de la manifestación…
El Servicio de Pedido Cósmico: Un Viaje de Manifestación y Desilusión Debo haber sido una adolescente cuando encontré este extraño…
El hipnotista maestro ha revelado una fórmula de manifestación más poderosa que la Ley de Atracción. Esta fórmula se centra…







